全国咨询热线            微信咨询
          0571-86709763       385180139

          杭州传祺健康管理有限公司
          株式会社 健康之旅

我父亲赴日治疗肺腺癌术后多发转移-跨国求医之路(1)

2023-01-01 19:58
文章附图

原创作者:都市游子


【前言

我带父亲去日本治疗归国,不知不觉已经快3年了。当初在出国前有多彷徨无助绝望,现在就有多珍惜目前来之不易的治疗后3年无复发。在12月寒冷的冬夜里,顶着风雪下班回家后,全家人聚一起热热闹闹吃一顿火锅,才是我梦想中家的味道。


【求医之路

我是独生子女,从小就很独立,所以大学毕业后独自离家去大城市打拼,从来不会跟家里人说起职场上的苦和累,只希望父母眼中的我,是一个乐观开朗,职场一帆风顺的女儿,也真心希望父母能够永远健健康康的陪我一辈子。

c803187f15d0da0dd5a8f2fd99ed0b0.jpg


但是,一直身体很好平时喜欢运动的父亲,几乎没生过大病,却一次体检时却突然发现肺部有病灶,从此开始了多年的求医坎坷之路。


2015年4月底,父亲在国内医院体检时,PET CT发现左肺不规则病灶,医生诊断说,疑似CA,建议进一步检查。


我劝父亲来我工作的大城市做进一步的检查,万一后续需要治疗,肯定是选择大城市的肿瘤医院,医疗技术及医生经验都是最好的,父亲经过考虑,7月跟着母亲来到我工作的城市,跟我住一起。


2015年8月,在肿瘤医院经过进一步各项检查后确诊,肺癌。

2015年9月,在肿瘤医院行外科手术,切除左肺上叶(针对左肺病灶),术中病理:肺腺癌IIIA,纵隔淋巴结转移。


2015年10月-12月   在医院行放疗(3D调强)30次(针对纵隔淋巴结转移)。

2016年1月-2月      在医院行化疗(顺铂+培美曲塞)2个疗程,并在第二个疗程后行胸腔灌注贝伐单抗一次。

2016年3月开始,一直服用中药进行调理身体。

2018年8月复查,血检结果显示CEA和CA125异常超高。

                          肿瘤标志物结果:CEA癌胚抗原 48.63(H)(参考值:0-5   ng/ml)

                           CA125       192.59 (H)(参考值:0-35 U/ml)

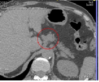
2018年9月复查,增强CT腹腔内发现淋巴结转移,

2018年10月复查,PET CT确诊肺腺癌3A期术后多发转移。但因胃小弯侧及腹膜后膜主动脉旁多发淋巴结影(最大SUV10.2较2017-09-21,病灶增多,代谢增高),紧邻胃壁,很难接受国内传统放疗,极易引发胃穿孔,同时多发转移无法手术,仅考虑化疗,但不排除化疗药物出现耐药性后病情恶化。


我们一家人在经过了多次复查及跑了多家医院,挂专家号听取各位专家名医的可行性治疗意见,都不太乐观,建议保守治疗或化疗(以延长生命为目的)。


作为父母唯一的女儿,我不想放弃治疗,既然国内的治疗希望不大,我考虑到日本医院去咨询试试看。通过日本朋友了解的信息,在日本外务省官方网站上,找到了一家同时在中国日本都有服务公司的日本官方认证跨国医疗服务中介机构,并很快通过该机构的推荐,将国内病例资料及PET-CT电子版(DICOM格式)影像资料都上传云端,希望申请日本专家的远程二诊咨询。


【跨国求医之路始于足下】

因我父亲是肺腺癌术后多发转移属于疑难重症,日本很多大医院都会因治疗难度等顾虑而不愿接受海外重症患者,经过日本医疗服务平台的联络协调,针对目前无法手术,传统放疗困难及化疗预期不理想的前提下,次日将病例资料递交给日本北海道大野纪念医院的副院长-岸和史教授(日本疑难癌症治疗专家,高机能放射线治疗中心主任),申请日本专家远程二诊咨询。


根据日本医疗服务平台的反馈,岸教授收到病例资料及影像资料后,让助理联系组织院内多学科进行会诊讨论,针对治疗难点以及可采取的治疗方案多方论证后,岸教授出具了一份详细的二诊意见报告书,并附有详细的病症位置标记图,大致内容如下:

--------------------------------------------

A: 1-4。从胃上部大弯侧淋巴节到腹腔动脉干右侧的淋巴节可见不规则的如同姜根状的连续肿大淋巴结,该部位FDG呈现集聚。淋巴节有转移巢的可能性。

B: 5 . 可见上肠间间膜动脉处右侧大动脉淋巴节的FDG集聚。淋巴节有转移巢的可能性。

C: 6和7,.在气管分歧周围的淋巴节上可见FDG集聚。淋巴节有转移巢的可能性。

关于影像所见的解释和进一步精密检查的意见建议:

在这些FDGPET中,阳性的部分有淋巴节转移可能性,但也不能否定炎症性集成的可能性。如果有能够追踪一段时间可进行对比图像的话,对诊断会有帮助。特别是小的病变有很多炎症性。通常是这些鉴别的后期图像是非常有效的,但是目前没有可供参考对照的后期图像。但也可以考虑来日本后再做全面的精密检查。


如果以上病灶被认定为肿瘤时的治疗方法:

1)推荐的组合治疗方法:

在一系列的高精准放射线治疗结束后马上进行免疫治疗,最推荐的是放射线疗法+免疫疗法。


例如,在对A病灶靶区的最新一代M6型机型可跟踪呼吸机能的高精准放射线(全日本仅3台)治疗之后,立刻接受免疫(PD-1)治疗第1次,对B病灶靶区的高精准放射线治疗之后也立刻进行免疫(PD-1)治疗第2次。对C病灶靶区的高精准放射线治疗之后立刻接受免疫(PD-1)治疗第3次(每2次免疫PD-1之间需要间隔2周),再组合免疫细胞疗法的话对预后会更理想。


2)之后关于追加的辅助治疗。

作为在主要的组合治疗后,可考虑的辅助增强治疗:

1 .可考虑选择安全的分子靶向药(tagisso),是针对EGFR19号外显子突变比较有效的靶向药。

2 .或者不使用分子靶向药,选择接受免疫(PD-1)治疗。

但是请注意,以上辅助增强治疗的1、与,2不推荐同时使用,否则会出现设想外的副作用。


专家建议:

针对A病灶靶区,与胃部临近,建议通过拥有动态追踪功能的最新一代M6机型(全日本仅3台)高精准放射线进行治疗,治疗前可注入凝胶进行隔离,如果因胃部蠕动而万一发生凝胶无法固定的情况,M6机型也可在注意胃部危险器官的同时进行高剂量的精准照射(只有M6机型才能做到)。

另外,主要组合治疗后的辅助巩固治疗,选择项之一的分子靶向药(tagisso)容易产生耐药性,目前根据临床疗效,建议优先考虑PD-1免疫治疗(两者不可同时选择使用)。

--------------------------------------------

以上就是大概的日本专家二诊意见建议,比较开心的是,日本医院不但同意接收治疗,而且针对治疗难点也做了可行性的治疗方案,包括后期预后巩固阶段的治疗,这是我们咨询各方后所获得的最好及最有希望的一份二诊意见回复,我们家里人讨论后,决定尽快赴日治疗。


后续就是配合日本医疗服务平台的流程,签订赴日就医服务合同,办理各自护照(我家去3人),签证,日本租房委托手续,换外汇,打包行李等准备工作,终于在23天后顺利飞抵日本札幌的新千岁机场,开始日本治疗的旅程。


到了机场出口处有日本医疗服务机构安排的专车接机,一路送到医院附近公寓楼门口,下车时厚厚的雪都快埋到我小腿肚了,札幌的大雪跟国内东北的雪乡很像。进入公寓之后,房间虽然比国内的小,但设备挺新的,各种设施也很齐全,特别是房间里有个连接燃油管道的燃油加热器,升温特别快,开启之后10分钟不到,室内温度就达到了24度(室外-10度),穿个单衣在室内都不会感觉冷。



到达札幌入住公寓之后,还有翻译来公寓帮忙安顿行李,带我们去周边大超市(步行5分钟)买生活用品及食品,陪我们一起去拉面店吃了落地日本后的第一餐(日本拉面),口感味道都还不错,就是面条感觉硬了一些(翻译说下次可以提前跟店员说,面要软一点的)。饭后带我们走了一遍公寓去医院的路线,分开前约好了第二天是9:00首诊,大家早上8:40在医院大门口汇合(公寓离医院步行9分钟左右)。


未完待续(2)。。。。。


传祺国际健康总部2015年成立于日本,2019年通过日本外务省、经济产业省联合认证,系外务省官网认证发布医疗签证担保机关(编号B-107),经济产业省官方许可中日跨境医疗支援服务企业。

我们团队所做的每一分努力,每一次付出,为帮助更多坚持在抗癌路上的患者,坚强勇敢地抗争癌症的同时,得到国际专家的权威意见建议,为今后治疗指明方向,为获得更好的生存机会而不懈努力!

【传祺国际健康】微信:385180139